新昌信息港

 找回密码
 立即注册

眼下很多人都在用!20岁绍兴姑娘查出“白肺”

查看数: 4235 | 评论数: 2 | 收藏 0
关灯 | 提示:支持键盘翻页<-左 右->
    组图打开中,请稍候......
发布时间: 2024-6-21 18:02

正文摘要:

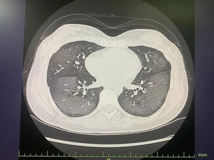
夏天的太阳毒辣辣,讲究一点的出门时会往身上喷一喷防晒喷雾。但就是这款近年来热门的防晒产品,让20岁的姑娘得了急性过敏性肺炎。这是怎么回事呢?对着面部猛喷,姑娘“白肺”了6月17日中午,20岁的绍兴姑娘丽丽( ...

回复

和顺园来自:浙江省 发表于 2024-6-21 19:24:36
新昌小胖芙来自:浙江省 发表于 2024-6-21 19:03:02
什么牌子啊
 

| QQ| 服务条款|关于我们|小黑屋|天姥论坛 ( 浙ICP备2021020645号 )

浙公网安备 33062402000133号 GMT+8, 2025-11-18 22:33 , Processed in 0.113987 second(s), 18 queries , Redis On.

Powered by zjxc.com

© 2003-2025新昌信息港

客户端下载 快速回复 返回顶部 返回列表